Лікарі Івано-Франківської обласної дитячої лікарні постійно навчаються та впроваджують в практику нові методики лікування. Відтепер тут впроваджують і нові методи лікування переломів кісток у дітей.
Про це повідомили на фейсбук-сторінці обласної дитячої лікарні, передає Інформатор.
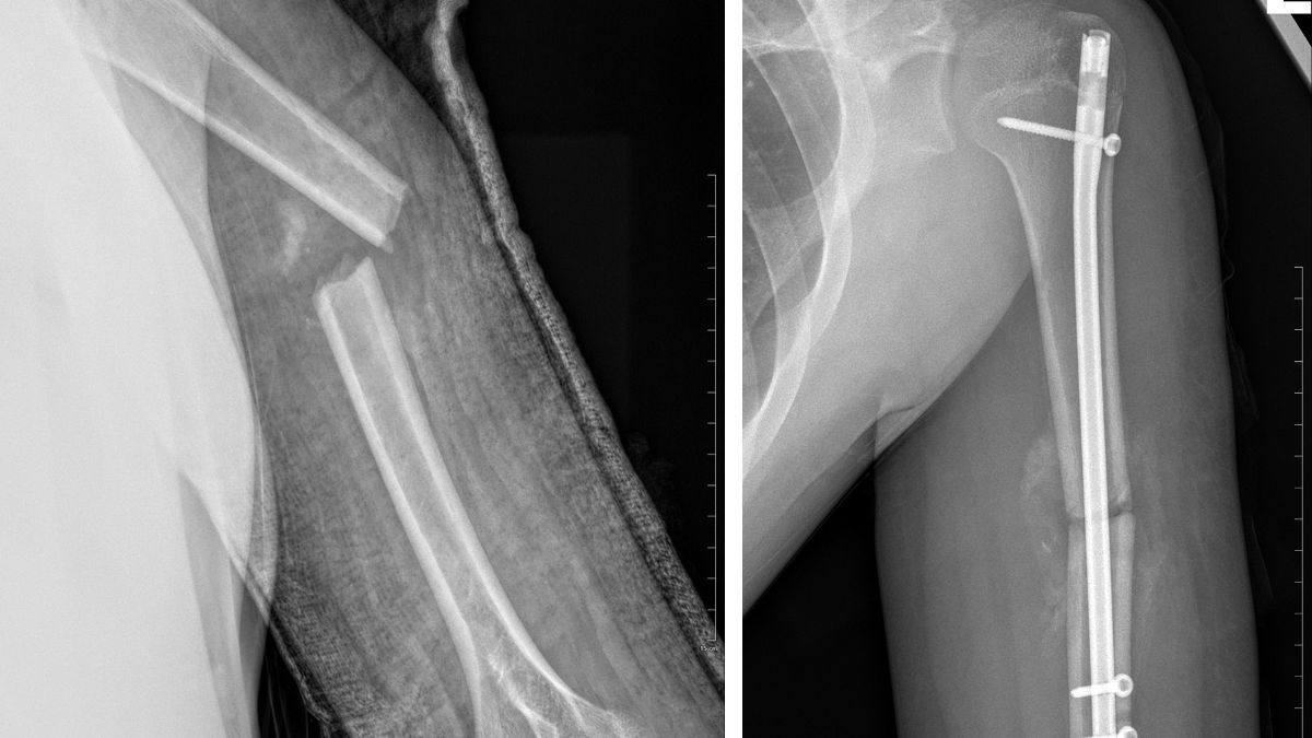
Завідуючий відділення Юрій Іванчук, лікарі травматологи Василь Данів та Василь Качур при переломах кісток гомілки, кісток передпліччя та плечової кістки проводять операції блокуючого інтрамедулярного остеосинтезу. Така методика дає можливість малоінвазивного остеосинтезу (через невеликі розрізи вводити фіксуючі стержні в канал кістки, які стабільно утримують перелом кістки).
Комбінована анестезія під час операції (загальний наркоз, регіонарна анестезія) дозволяє мінімізувати потребу в додатковому післяопераційному знеболенні.
“Які ж переваги даного методу? Це надійна стабілізація перелому, дуже рання реабілітація пацієнта, зменшення післяопераційного періоду та ускладнень, скорочення термінів перебування в стаціонарі. Дитина не потребує додаткової фіксації гіпсовими пов’язками та має можливість раннього навантаження та швидкого відновлення функціонування кінцівки”, – йдеться у повідомленні.
Раніше основним методом вибору лікування таких переломів був скелетний витяг. Це мінімум 1 місяць строгого незручного ліжкового режиму з цілодобовим доглядом за дитиною, з подальшою фіксацією гіпсовою пов’язкою з усіма незручностями від неї та значно подовженою реабілітацією пацієнта (до кількох місяців). Єдиним недоліком блокуючого остеосинтезу є вікове обмеження (дані операції проводяться у дітей віком від 10 до 18 років).
У лікарні зазначили, що працюють за програмою медичних гарантій – при наявності електронного направлення обстеження та лікування в консультативній поліклініці та стаціонарі є безоплатними для пацієнта.
Будьмо на зв’язку! Читайте нас у Facebook, Telegram, TikTok та Instagram.
Надсилайте свої новини на пошту kalush.informator@gmail.com
Мобільний номер редакції +380 67 266 02 08

